目次
ダイレクトCRとは
健康な歯質をなるべく削らずに、自然な歯の色を再現した詰めものを直接口の中でつくる手法です
治療前

治療後

ダイレクトCR治療の説明
多種類のプラスチックを直接歯に盛り付け、自然な歯の色に近い詰め物を再現する方法です。被せ物が不要なため、型をとる詰め物に比べて、歯を削る量を圧倒的に抑えることができます。
そして、削る量や範囲が少ないことで、自分の歯を弱らせることなく治療が可能です。
(同様の方法を用いることで、矯正治療をしなくても歯の隙間を埋めるといったことも可能です。)
ダイレクトCRの副作用(リスク)
・唾液の侵入を防ぐことにより接着力を高めるため、ラバーダム防湿というゴムのマスクが必要となります。
・治療時間も型を取る方法より時間がかかります(約1時間)
・治療可能な虫歯の大きさがが限られます。
・保険適用のプラスチック素材や銀歯よりも使用する材料の種類が多く、材料も高価なため費用がかかります。
しかし、欠けた場合でも、修理は他のものと比較して容易なため、メンテナンス性が良い治療です。
ダイレクトCRの費用
4.5万円(税抜40,900円)内訳:治療3.5万円、研磨1万円
キャンセルや変更がない場合は研磨代¥0キャンペーン実施中!
ダイレクトCRの治療期間
治療回数2回(①虫歯除去、詰め物の再現 → ②噛み合わせの再調整、研磨)
※虫歯が大きい場合は、保護材を入れて経過をみることもあります。
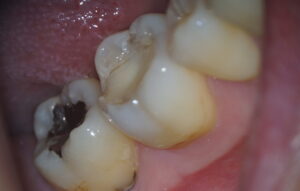
こんな方におすすめです。来院のきっかけ『歯がしみる』
しみる歯をマイクロスコープで確認すると…
つめものが欠けているところが数カ所あり、これがしみる原因と考えられます。
歯の量が少なく、亀裂が入ってしまっているところも・・・
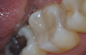
「自分の歯を守りつつ歯に良い治療を選択したい」
ということだったので、虫歯の大きさを考慮し、治療方法はダイレクトCRを選択。
※ダイレクトCRは虫歯の大きさにより適用できない場合があります。

青丸:詰め物の欠け 赤丸:亀裂
ダイレクトCRの治療のながれ
ラバーダム防湿
↓
マイクロスコープを使用し虫歯を除去
↓
歯の表面を磨く
↓
歯のチェックと設計
↓
CRの充填
↓
歯の表面を磨く
ラバーダム防湿法とマイクロスコープを使用し虫歯の除去
歯の周りをゴムで覆って湿度を限りなく下げる手法
唾液などの水分、呼吸による湿度を下げてダイレクト CRの接着力を大幅に上昇させることにより、削る歯を最小限にとどめ、治療することが可能です。
虫歯を染め出し、マイクロスコープを使用しながら虫歯だけをていねいに除去していきます。
※赤丸のようなリングを歯にかけるため、痛みがある場合など、治療箇所以外にも麻酔が必要となる場合があります。

青丸:青く染め出した虫歯
歯の厚みのチェックと設計
CR充填の可否決定
1mm以下の歯質は、噛む力に耐えきれず、歯が欠けてしまうことがあります。このような歯は無理に保存したとしても、いずれここから歯が壊れてしまいます。そのため、患者さんから許可をいただき、厚さが1mm以下の歯を削っていきます。

赤丸部分:亀裂

写真左:充填後の歯、写真右:治療中の歯