患者さまとの会話シリーズ Vol.8-1
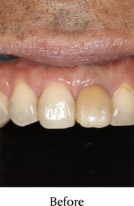
患者プロフィール:Tさま(50代・男性)
気になりごと:
・前歯の神経を取ったあと、歯がどんどん黒くなっていく
・歯を削るのには抵抗があるのでセラミックにはしたくない
・きれいに治してほしい
などの条件を満たす治療が無く、そのままにしてしまった


接着性ブリッジの適応症:
神経が無くなった歯はむし歯で脆くなっていることも多く、被せ物が第一選択の場合もありますが、歯の内側からホワイトニングをすることも可能です。
まとめ:
このホワイトニング法は1960年代から行われており、じつは他のホワイトニングよりも歴史がある治療方法です。
偶発症として、骨が吸収してしまう場合もありますので、マイクロスコープでしっかり根の治療をし、
歯に亀裂がないかチェックすること、施術後は定期的な検診がポイントです。
歯を1本きれいにするだけで、歯ブラシへのモチベーションもあがると好評いただいています。
気になる方はご相談ください。