神経を取った歯は白くすることができないとあきらめていませんか?
一般的なホワイトニングでは、効果が発揮されないといわれている神経のない歯ですが、そんな歯でも白くできるのがウォーキングブリーチという方法です。
ウォーキングブリーチとは
ウォーキングブリーチとは、歯の内部に、歯を白くする専用の薬剤を入れ、変色した歯を白くする方法です。
薬剤を入れる処置を行った後、歯の色の変化を見る為に時間をおき、歯の色が白くなったら、歯の内部の薬剤を除去し、最終的な蓋をします。
ウォーキングブリーチの治療の流れ
1.歯の内部のものを全て除去、内部に問題があれば再根管充填
ウォーキングブリーチを始める前に、対象の歯に虫歯や、内部の細菌感染が起こっていないかを調べ、必要であれば処置を行います。
神経の無い歯の場合であれば、既に根管治療をしているケースがほとんどですが、歯の根っこの先に膿が溜まる根尖病変が存在すると、ウォーキングブリーチを行っても、その後、根尖病変が原因で抜歯せざるを得ない状況になりかねません。
また、歯の部分のみ薬剤に反応するので、以前に治療した詰め物をしっかりと除去する必要があります。マイクロスコープ下で確認をしながら丁寧に古い詰め物を取っていきます。
費用:
再根管充填 35,000円
マイクロスコープ下での詰め物除去+薬剤 55,000円
別途レントゲン、歯周検査などの検査代
2.歯の内部に専用の薬剤を入れる
歯の内部が綺麗な状態であることを確認し、ウォーキングブリーチ専用の薬剤を歯の内部へ入れます。
対象の歯の裏側に穴を開け、1週間に1度のペースで薬剤を流し込みます。希望の白さになるまで、およそ2~3回(2,3週間程度)繰り返します。
費用:薬剤交換1回 5,500円
3.裏側に詰め物を行う
歯の色が理想の白さになった段階で、歯の裏側の穴を埋めます。
使う材料は、コンポジットレジンといわれるプラスチック製の材料で行って終了する場合がほとんどですが、歯の形も変える必要がある場合には、さらに被せ物をしていきます。
費用:コンポジットレジン 16,500円
※被せ物が必要な場合には別途費用
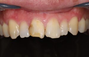
症例1(歯の色にのみ問題がある場合)
治療前

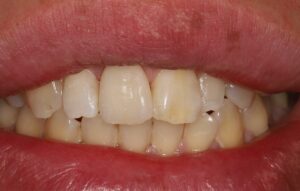
治療後(治療期間2ヶ月)

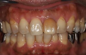
症例2(歯の色+形に問題がある場合)
治療前

ホワイトニング後(治療期間2ヶ月)

虫歯を除去し、最小限の切削量で被せ物により歯の形を改善後

 
         
           
           
           
           
           
           
           
          